Non-Surgical Jaw Augmentation
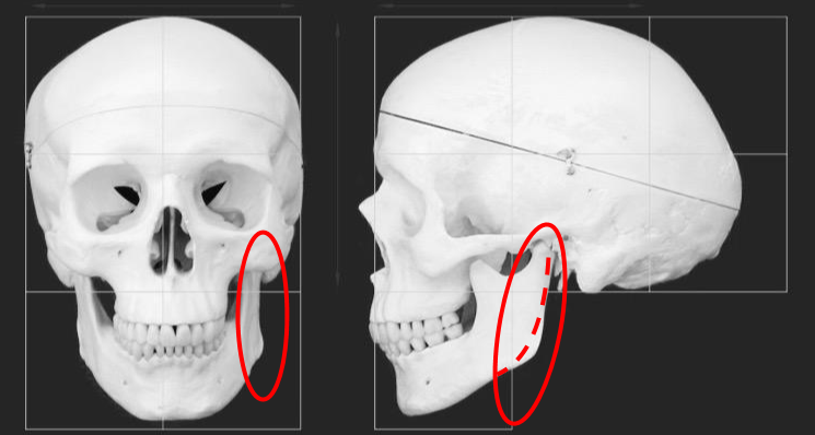
The dotted line is how the jaw appears as you age - much smoother and less defined.
The non-surgical jaw augmentation has fast become one of our most talked about treatments. You're probably wondering what exactly a jaw augmentation is, who it's for and how it's done?
What is a non-surgical jaw augmentation?
First of all, let's discuss what a non-surgical jaw augmentation is. As the name suggests, it is non-surgical. This is one of the many reasons why this procedure is so popular, you don't need to go under the knife to achieve a defined jawline. Put simply, a non-surgical jaw augmentation is a procedure that involves our nurse practitioner administrating Radiesse Lidocaine (filler) into the jaw muscles to redefine your jawline.
Who should have a non-surgical jaw augmentation?
There are two types of people who would really benefit from the non-surgical jaw augmentation. The first type of people who will benefit are those who don't have a particularly strong jawline, or would like to have more prominent, enhanced features.
The second type of person the non-surgical jaw augmentation is popular with are the 40+ age group. As you age, your jaw becomes less prominent and takes on a smoother appearance. This procedure reverses the look of ageing, giving you a sharper, more defined jawline.
How is the treatment performed?
The treatment is relatively quick and painless. Our nurse practitioner will talk you through the procedure in your consultation. The non-surgical jaw augmentation is achieved by injecting filler into the jaw muscles. This will give the jaw muscles and jaw line a much more defined look, which will leave you looking your absolute best.
Price
£375 - a deposit of £50 is required on booking
For more information about our non-surgical jaw augmentation, please contact our friendly Lancashire-based clinic.
01254 824 726
info@juliepawsonaesthetics.co.uk
